.

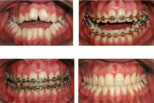
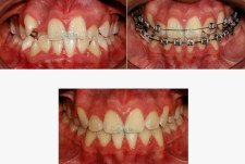
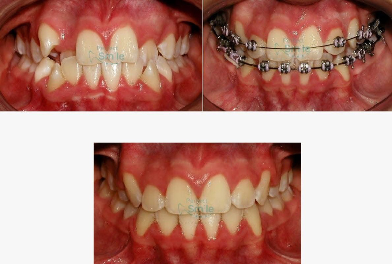
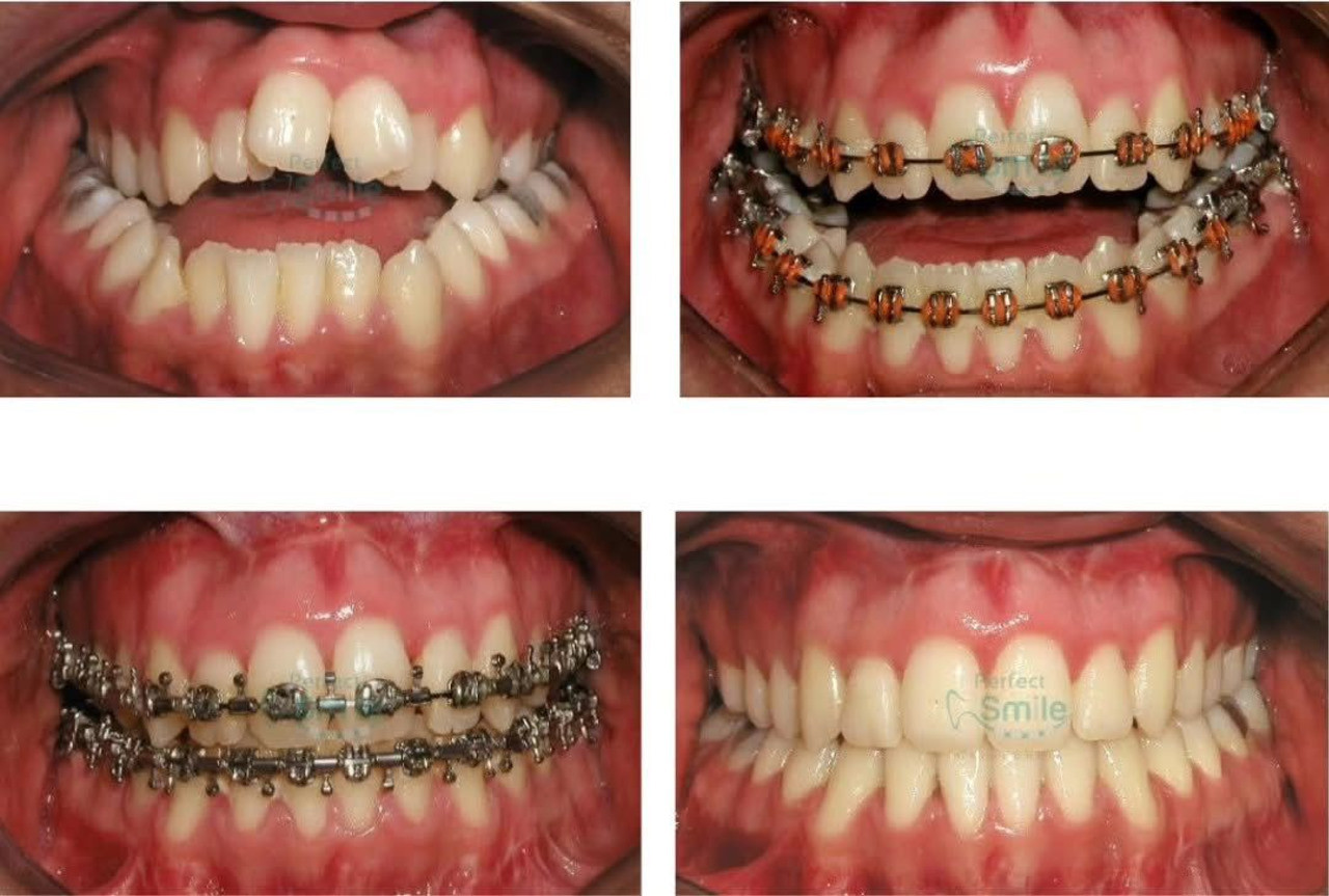
Pacientes Satisfechos 2

Envíado por Dr. Manuel Arturo Cortez Miranda