.

Dr. Manuel Arturo Cortez Miranda

Ortodoncista y Ortopedia Maxilofacial

User Image

JVPO 4941

Perfect Smile Santa Tecla
Primera Calle Oriente y 3ra. Avenida Norte, Plaza San Antonio, Local 11, sobre el paseo El Carmen, Santa Tecla


APROVECHE NUESTROS EXCELENTES PLANES DE FINANCIAMIENTO!!!

Estudios Realizados

  • Estudios de Postgrado
    • Maestría en Ortodoncia y Ortopedia Maxilo Facial México D.F.
    • Centro de Estudios Superiores de Ortodoncia C.E.S.O. México D.F.
    • Posgrado reconocido por:
      • Asociación Mexicana de Ortodoncia, colegio de Ortodoncia A.C.
      • World Federation of Orthodontists (WFO)
      • American Association of Orthodontist
      • Implant Institute.

Asociaciones Miembro

  • Sociedad Dental de El Salvador (SODE).
  • Asociación Salvadoreña de Ortodoncia (ASO).
    • Miembro de la Junta Directiva (2014-2015 al 2016-2017)
  • Federacion Mundial de Ortodoncista (WFO).
  • Asociacion Americana de Ortodoncista (AAO).
  • Asociación Mexicana de Ortodoncia
  • Asociación Latinoamericana de Ortodoncia
  • Academia Mexicana de Ortodoncia

Procedimientos que Realizamos

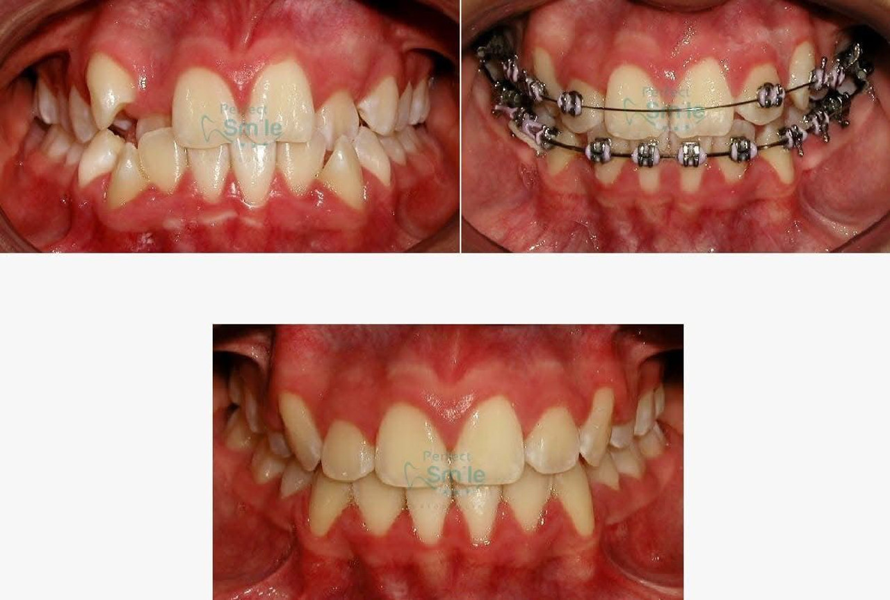
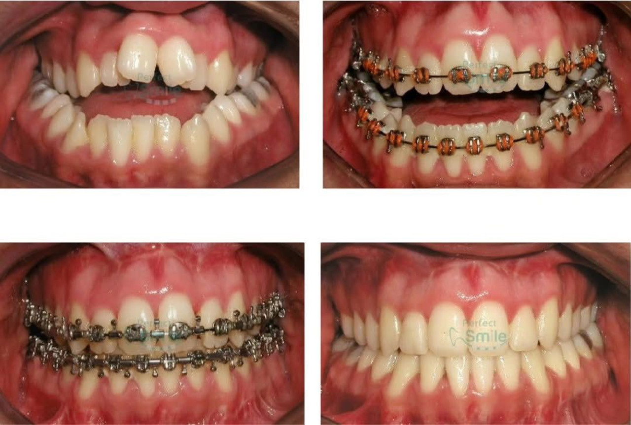
Realizamos un diagnóstico personalizado en cada uno de nuestros casos, con el objetivo de obtener un plan de tratamiento exitoso, cumpliendo con los más altos estándares que exige la American Board Association de Ortodoncia.

Tratamientos

  • Colocación de mini implantes como anclaje esquelético para realizar movimientos más rápidos y con mayor facilidad en los tratamientos de ortodoncia.
  • Cierre de espacios por diestemas o espacios entre dientes.
  • Corrección de crecimiento del maxilar superior y de la mandíbula con ortopedia maxilofacial en edades tempranas. (Mandíbula grande o pequeña).
  • Prevención y corrección de problemas en la erupción dental.
  • Cirugía y tracción de dientes retenidos o atrapados en el hueso.
  • Asimetrías faciales o dentales.
  • Tratamiento de sonrisa gingival. (Se visualiza mucha encía al sonreír).
  • Desalineaciones dentales, leves, moderada y severas.
  • Mordidas abiertas por malos hábitos. (No contactan los dientes superior a los dientes inferiores al morder.)
  • Mordida profunda, al morder no se ven los dientes inferiores.
  • Mordida Cruzada inferior, los dientes inferiores están por delante al morder con los dientes superiores.
  • Rompe hábitos de rejilla lingual, para succión de dedo o de deglucion atípica.
  • Lip bumper, para pacientes que interponen el labio inferior en los dientes superiores ocasionando un over Jet aumentado.
  • Tratamientos con o sin extracciones dentales.
  • Preparación de pacientes pre y post de cirugía ortognática.
  • Extracciones seriadas a tempranas edades interceptado problemas en erupción dental.
  • Expansores para corregir problemas de espacios en edades tempranas.
  • Todo tipo de tratamiento de ortodoncia: Brackets Metálicos, Cerámicos, Zafiros, Autoligados Metálicos y Cerámicos.
  • Tratamiento de Invisalign (Tratamiento de Ortodoncia sin brackets).

Servicios de Odontología Integral

Reemplaza la falta de dientes con prótesis sobre implantes, ya sea porque te falta un diente, o porque lo has perdido.

Recuerda que tu sonrisa es tu mejor carta de presentación.
Resultados efectivos y positivos gracias a nuestros especialistas y a todos los pacientes que nos refieren. Aprovecha nuestros descuentos y excelentes planes de financiamiento.

Ofrecemos servicios de odontología integral.

  • Colocación de implantes unitarios + rehabilitación, y colocación de varios implantes con rehabilitación completa oral.
  • Consulta general.
  • Tratamiento en edades tempranas: - Sellantes de fosas y fisuras.
    • Aplicación tópica de flúor.
  • Profilaxis y Limpieza dental con ultrasonido.
  • Tratamiento de carias directas estéticas.
  • Rellenos dentales con resina blanca 3M.
  • Extracción de piezas dentales.
  • Cirugía de extracción de cordales.
  • Extracciones de restos radiculares.
  • Blanqueamiento Dental.
  • Prótesis dentales fijas de porcelana.
  • Prótesis dentales removibles con y sin metal.
  • Prótesis completas.

Manejamos paquetes empresariales y
aceptamos tarjetas de crédito.

Para nosotros lo más importante es que nuestros pacientes estén completamente satisfechos con los resultados obtenidos en su tratamiento, a un precio competitivo y con una atención personalizada, viendo siempre su salud bucal como algo integral.

Es por eso que te invitamos a tener la sonrisa que mereces, en una clínica moderna, con un ambiente agradable, con la mejor ubicación, vigilancia, amplio parqueo y los mejores profesionales en el área de la salud bucal.


Horarios

Perfect Smile Santa Tecla
Horarios:
  • Martes:
    Abre: 08:00
    Cierra: 12:00
    Abre: 13:00
    Cierra: 15:30
  • Miércoles:
    Abre: 08:00
    Cierra: 12:00
    Abre: 13:00
    Cierra: 15:30
  • Jueves:
    Abre: 08:00
    Cierra: 12:00
    Abre: 13:00
    Cierra: 15:30
  • Viernes:
    Abre: 08:00
    Cierra: 12:00
    Abre: 13:00
    Cierra: 15:30
  • Sábado:
    Abre: 08:00
    Cierra: 12:00
    Abre: 13:00
    Cierra: 15:00

Aseguradoras Aceptadas

Idiomas

Formas de pagos aceptadas

Consultorio
Fachada Santa Tecla
Clínica
Staff
Clínica
Recepción y Sala de Espera
Sala de Espera
Sala de Espera