.

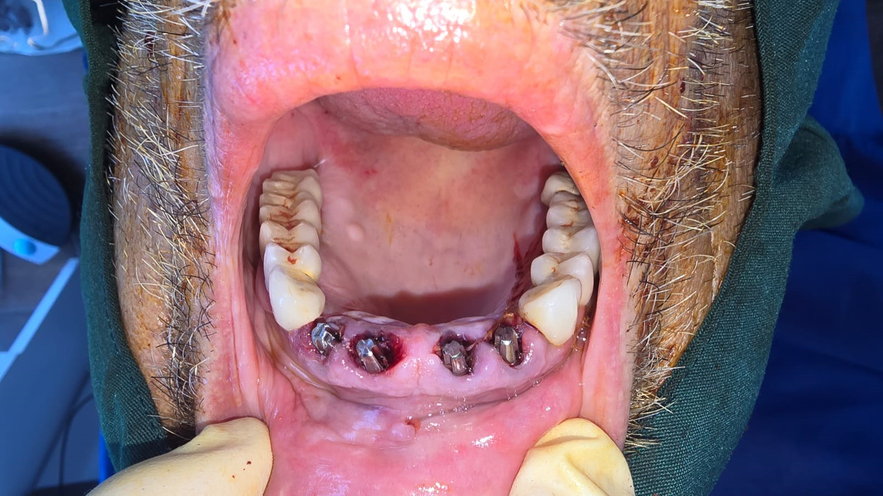
Implantología Estratégica Cortico Basal

Envíado por Dr. Rene Mauricio León Aparicio

Dr. Rene Mauricio León Aparicio

Av Dr.Max Bloch, Edificio San José, 2 planta, local 6B, Entre Analiza y Aezobispado
JVPO 1,155